Understanding Tooth Recession: Causes, Prevention, and Treatment Options

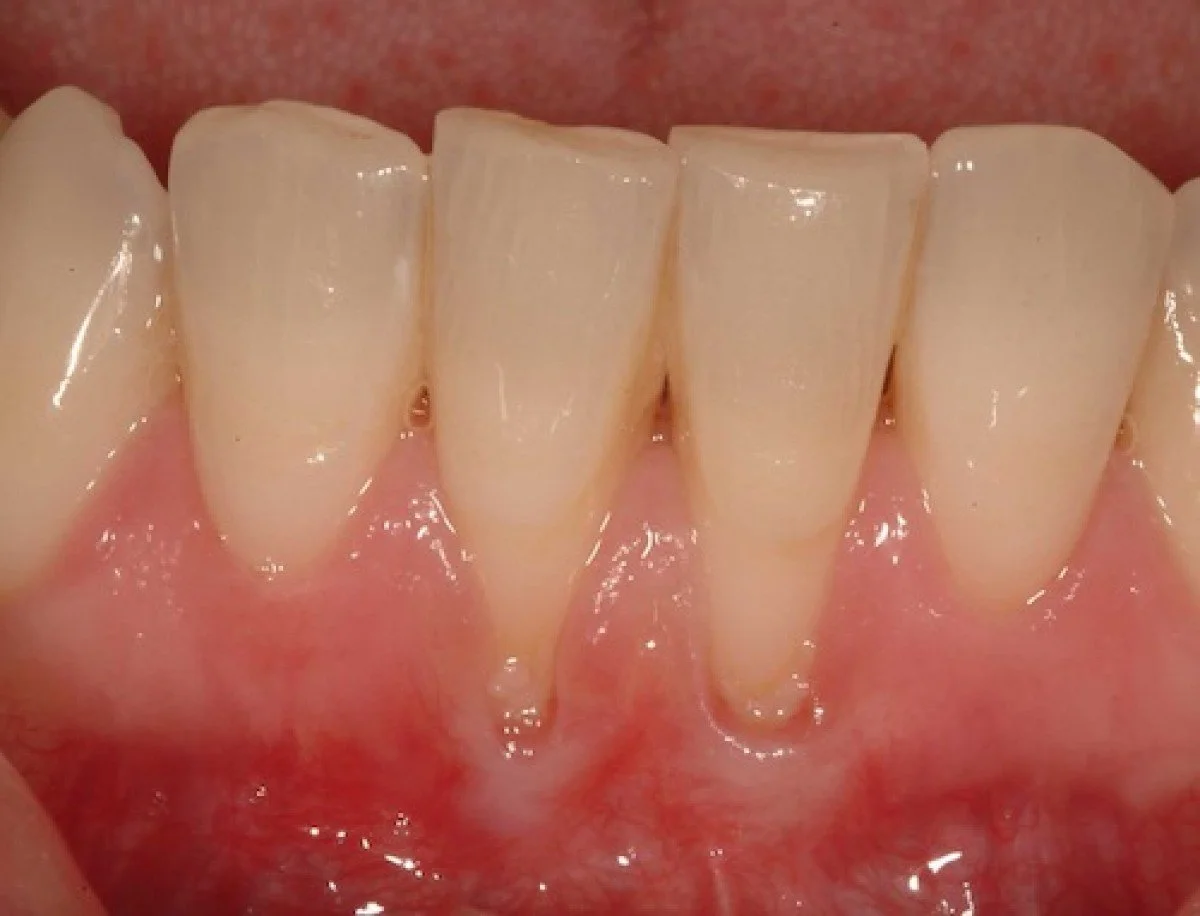
Tooth recession, clinically referred to as gingival recession, is the process whereby the gum tissue surrounding the teeth wears away or retracts, exposing more of tooth surface or its root. This condition can be a precursor to other dental issues, such as tooth sensitivity, decay, and even tooth loss if left untreated.

The primary causes of gingival recession include periodontal disease, which encompasses a range of inflammatory conditions affecting the supporting structures of the teeth. Chronic periodontitis, a more advanced form, leads to the destruction of gum tissue and alveolar bone, contributing significantly to recession. Other contributory factors include aggressive tooth brushing, which can abrade the gingival tissue, and malocclusion, where misaligned teeth cause abnormal forces and stress on the gums. Additionally, habits such as tobacco use and bruxism (teeth grinding) exacerbate gum wear and recession.

Prevention of gingival recession involves meticulous oral hygiene practices. This includes brushing with a soft-bristled toothbrush using gentle, circular motions, and flossing to remove interproximal plaque. The use of antimicrobial mouth rinses can also help in reducing bacterial load. Regular dental check-ups are crucial for the early detection and management of periodontal disease and other contributing factors. For individuals with malocclusion, orthodontic treatment may be recommended to correct the alignment of teeth and reduce undue stress on the gums.

Treatment options for gingival recession depend on the severity and underlying cause. In cases of mild recession, non-surgical interventions such as desensitizing agents or bonding agents may be used to manage symptoms and protect exposed root surfaces. Scaling and root planing, a deep cleaning procedure, can remove plaque and tartar from below the gumline, promoting gum reattachment and reducing inflammation.

For more advanced cases, surgical interventions may be necessary. These can include gum grafting procedures, where tissue from another part of the mouth or a donor source is grafted onto the affected area to cover exposed roots and restore the gumline. Pinhole surgical technique, a minimally invasive option, involves making a small hole in the gum and using specialized instruments to loosen and reposition the gum tissue over the receded areas. Additionally, regenerative procedures using growth factors and biomaterials can stimulate the growth of new bone and gum tissue.


Contact Dr. Birnbaum today at (617) 965-1400 or book your appointment for your professional dental checkup or cleaning today.

Previous
Previous

The Role of Nutrition in Dental Health: Foods That Promote Strong Teeth and Gums

Next
Next

Tips for Maintaining Healthy Gums: Your Guide to Gum Care and Periodontal Health